I came back from chemo around 4:30. Not feeling my best, feeling kinda “blah” actually. Feeling queasy & I’ve been having back spasms, though I’m not sure if the spasms have anything to do with the chemo (nor does the doctor). I just know that the taxotere seems to magnify any ache or pain that I already have, so my messed up back aches more during and right after chemo.
Here’s how a typical chemo appointment goes. I arrive at the medical facility, check in, pay my insurance co-payment, then sit and wait. I am called into an examining room where a nurse checks my temperature, blood pressure and my weight. Contrary to popular belief, most people gain weight on chemo-partly due to the steroids given beforehand, and partly due to the fact that chemo can tire you out, so workouts aren’t as strenuous or long as pre-chemo. Your temperature is checked because had I been running a fever, chemo would be a NO-GO. No chemo if there is a possibility that I had some sort of infection. Chemotherapy wrecks havoc with all fast growing cells, including blood cells (& white cells, platelets, etc, stave off infections & If your counts are low, the docs don’t want them going any lower). Then I wait. The doctor comes in the room and checks my lungs with his stethoscope to make sure everything is clear & then checks my abdomen to make sure there aren’t any masses. He also asks how I am feeling. If everything is good, it’s time to go around back to the chemotherapy area.
The chemo area is basically a big room with individual cubicles. There are curtains that can be opened and closed around each. Across from the cubicles is the nurse’s station. In each cubicle, there is a reclining chair and the IV (intravenous) machine. I pick the cubicle I want to sit in, take a seat, and wait for a nurse.
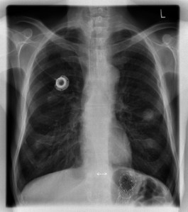
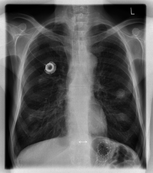
A nurse comes in, closes the curtain, and accesses my Medi-port. A Medi-port is a completely implanted device that consists of the following: Reservoir – a hollow titanium disk that has a rubber septum. The reservoir is implanted in a pocket just below the skin on the chest wall. In my case, the upper left hand side, right below my collar bone. Catheter – a tube that is connected to the reservoir and placed into one of the large veins of the chest. In my case, into the heart. The nurse feels for the reservoir and accesses it with a large needle. Now ports are supposed to be good for two way flow (drawing blood and administering medication), however, my port is finicky. Occasionally, the nurses are able to draw blood, using a number of techniques such as having me lie flat, turn my head to the right, and cough. The nurses have also tried flushing the port with saline, heparin (a blood thinner), to no avail. Basically my port is a bitch and only allows nurses to draw blood from it sometimes, which means the nurses have to draw blood from a vein in my left arm. (My right arm can’t be used for blood draws, blood pressure readings, acupuncture, etc. I had the lymph nodes removed under the right armpit. Any injury to the right arm can cause lymphedema, which is a swelling of the arm). It’s a real pain that my port doesn’t work like it is supposed to because instead of being stuck with a needle once, I have to be stuck twice, every week!
The nurse draws my blood and sends it down to the lab for a CBC (Complete blood count). Before she leaves, she opens the curtain. Occasionally they also check my blood chemistry. (When I see my oncologist in the city, he also draws blood for additional tests, tumor marker test and tests to see if there are any tumor cells circulating in my blood..there aren’t). Then I wait about 15 minutes for my CBC to come back. If my counts are too low, NO CHEMO, for reasons previously noted, especially inability to fight infections). My counts were good!
The nurse then attaches the first IV bag through the IV machine, and attaches the tubing to the tubing at the end of the needle that was previously pushed into my port. This bag contains the steroid and anti-nausea medication (Kytril). This runs for about 15 minutes. When this bag is complete, the nurse comes back with the heavy stuff. Actually two nurses come back. I am asked my name and date of birth and then the nurses both check to make sure the poison is the correct poison. Docetaxel aka taxotere.
The nurse removes the first bag and attaches the second. The taxotere runs for at least an hour, meaning it takes an hour for the whole bag to enter my body. Today, it ran longer because I kept getting back spasms so the doctor and nurses decided to run the bag slower, just in case.
During the couple hours I am there, I talk with my husband, or mom if she accompanies me, read books on my Kindle or IPad, or play games on my IPad or IPhone. The facility does not have WI-FI. There is a small TV but I usually don’t watch it. As there is a TV in each cubicle, a lot of people do and the competing TV shows get annoying and makes it hard to concentrate on what you are watching. There is also a small bookshelf with books you can borrow. Sometimes I try to sleep, usually without luck. The steroids keep me awake all day and into most of the night of chemo.
I also eat snacks to keep the nausea at bay. The medical facility doesn’t have a cafeteria but they keep a bunch of snacks (graham crackers, granola bars, pretzels Oreos, cookies, etc), coffee, tea, hot chocolate, soda (especially ginger ale), and juice for the chemo patients. Some of the chemo patients are there all day getting chemo. As I am only getting one drug this third chemo go-around, I am not there as long. The first time I got chemotherapy (1995-1996), my doctor hospitalized me for 3 days so he could run the drug, Adriamycin, very slowly. As I mentioned in my first post, Adriamycin or Doxorubicin is extremely toxic to the heart and I was only 28. My doctor wanted to run it slowly to mitigate this side effect. BTW- my heart is fine. Now my breasts are another story. Damn things are trying to take me out.
When the bag of taxotere is complete, the nurse comes over, disconnects the bag from the tubing leading to the needle, and then pulls the needle out of my port. She bandages my boo-boo and then I am free to go. Chemotherapy is done for this week.
Then the side effects start. My side effects have been as follows: Neuropathy (pain, numbness, and tingling) down my right leg, from my knee to my foot. Very annoying & It makes it difficult to sleep at night. Tingling in my face (cheeks) on the day of and day after chemo. Tearing in my right eye. (No I am not upset, it is a side effect of my chemo!). This is also an annoyance, especially while trying to read, drive, write a blog…..Nausea is a biggy though I have prescriptions for Zofran and Compazine to help keep the nausea at bay. Exhaustion. And ….CHEMO BRAIN! Chemo Brain has to be one of the worst side effects. I also call this side effect “CRS” or “Can’t Remember Sh*t”. I can be in the middle of a sentence or conversation and not remember what I was talking about. I can’t remember names. I couldn’t remember the name of my cousin’s wife the other day. It was embarrassing. I think my children get a kick out of it. I used to be a smart woman. I don’t feel smart anymore. I walk into a room to get something and forget why I went into the room. Sometimes when I am driving, I forget where I am going. I know how to get there, I just forget what I went out for. Frustrating!!!!
I could probably write a whole blog only about chemo brain, but for now, I won’t. I still have to get up to date with my crazy a** journey. I haven’t even gotten into the whole re-radiation story and my job story. But who knows, I’ll be up all night tonight so maybe I’ll catch up. If not, Happy Easter & Blessed Passover. MCP



